Can Lung Cancer Be Mistaken For Emphysema / Lung Cancer Diagnosis And Treatment Mayo Clinic / Both copd and lung cancer can have the same causes, although genetics is known to play a role in some cases of lung cancer.
Dapatkan link
Facebook
X
Pinterest
Email
Aplikasi Lainnya
Can Lung Cancer Be Mistaken For Emphysema / Lung Cancer Diagnosis And Treatment Mayo Clinic / Both copd and lung cancer can have the same causes, although genetics is known to play a role in some cases of lung cancer.. Copd is a disease that is specific to the lungs and does not spread to other parts of the body. Although not everyone with copd will develop lung cancer, having copd does increase your risk. Chronic obstructive pulmonary disease (copd) and emphysema have been described as possible risk factors for lung cancer. We aim to assess the relationship between copd, emphysema and the onset of lung cancer. The researchers found 2,185 potentially misdiagnosed copd patients who died less than a year after their diagnosis.
Although not everyone with copd will develop lung cancer, having copd does increase your risk. Can lung cancer be mistaken for copd? Pancreatic cancer may be diagnosed as diabetes, due to the fact that diabetes is often a symptom or risk factor of pancreatic cancer. Lung cancer is a malignant (meaning it can spread to other parts of the body) tumor that begins in the cells of the lung. Although slipping from emphysema to copd is usually not a drastic decline in health, early detection of lung cancer is critical for increasing your treatment options and improving your prognosis.
The Stages Of Pulmonary Sarcoidosis What Do They Really Mean Foundation For Sarcoidosis Research from www.stopsarcoidosis.org Emphysema does not, however, lead to lung cancer. In the united states, trends in lung cancer tend to follow trends in cigarette smoking. Lung cancer develops due to the overgrowth of. Chronic obstructive pulmonary disease (copd) is a serious lung condition found mostly in smokers. If the condition is misdiagnosed or its symptoms are ignored, a patient may not receive appropriate treatment until the cancer has progressed to an advanced stage. When sarcoidosis affects the lungs, symptoms can mimic idiopathic pulmonary fibrosis including shortness of breath and a dry cough. Pneumonia is a lung infection that leads to breathing difficulties and fluid in the lungs. Malignant tumors trigger inflammation in surrounding normal lung tissue, and they may obstruct your airways and interfere with normal airflow.
The researchers found 2,185 potentially misdiagnosed copd patients who died less than a year after their diagnosis.
Know what you can do to protect yourself. When sarcoidosis affects the lungs, symptoms can mimic idiopathic pulmonary fibrosis including shortness of breath and a dry cough. Lung cancer and emphysema are not the same things. Can lung cancer be mistaken for copd? When detected in its earliest stages, lung cancer can often be successfully treated and sometimes even cured. Lung cancer, on the other hand, can metastasize and spread to other regions of the body via the bloodstream or the lymphatic. Copd is a disease that is specific to the lungs and does not spread to other parts of the body. Malignant tumors trigger inflammation in surrounding normal lung tissue, and they may obstruct your airways and interfere with normal airflow. This can lead to misdiagnosis as conditions such as irritable bowel syndrome (ibs). Lung cancer is a malignant (meaning it can spread to other parts of the body) tumor that begins in the cells of the lung. While both lung cancer and emphysema can be caused by smoking or exposure to dangerous substances, they cause different problems in the lungs and require different treatments. This, in turn, may cause collapse of the air sacs surrounding the tumor. Pneumonia is an infection of lung tissue usually caused by viruses, bacteria, fungi, and/or parasites.however, bacteria and viruses cause the majority of pneumonia infections.
Emphysema is defined as abnormal, permanent enlargement of airspaces distal to the terminal bronchioles and accompanied by the destruction of airspace walls without obvious fibrosis.the main purpose of radiographs in emphysema patients is to exclude comorbidities such as pneumonia, pulmonary oedema, lung cancer, and so on.we are already well informed of the image findings of emphysema and. Can lung cancer be mistaken for copd? That's because the symptoms of emphysema can easily conceal copd, and copd can conceal the presence of lung cancer. Pancreatic cancer may be diagnosed as diabetes, due to the fact that diabetes is often a symptom or risk factor of pancreatic cancer. Malignant tumors trigger inflammation in surrounding normal lung tissue, and they may obstruct your airways and interfere with normal airflow.
Stereotactic Body Radiation Therapy For Early Stage Non Small Cell Lung Cancer A Primer For Radiologists Radiographics from pubs.rsna.org Having copd may put you at risk for lung cancer and heart disease, among other conditions. This is because smoking complications can extend from lung tissue damage (emphysema) to lung cell damage (cancer). When cancer begins in the cells of the lung it is known as primary lung cancer. Various viruses, bacteria, and fungi can cause pneumonia. Lung cancer is a general term that includes all abnormal lung tissue cells that multiply unregulated and form tumors or growths in the lungs.these tumor cells may spread (metastasize) to other parts of the body.; In lung cancer, lung cells exhibit abnormal and uncontrolled growth starting the lungs, while asthma is caused by inflammation and/or mucus that decreases or blocks the breathing passages (bronchioles) of the lungs. Although slipping from emphysema to copd is usually not a drastic decline in health, early detection of lung cancer is critical for increasing your treatment options and improving your prognosis. Initial reports of an association between lung cancer and emphysema date back to the 1950s, when a report on 10 patients with congenital cystic pulmonary emphysema who died from primary lung cancer was published (4).
Copd is a disease that is specific to the lungs and does not spread to other parts of the body.
In the united states, trends in lung cancer tend to follow trends in cigarette smoking. Chronic obstructive pulmonary disease (copd) and emphysema have been described as possible risk factors for lung cancer. The disease, which gets worse over time, causes chronic coughing with mucus. In lung cancer, lung cells exhibit abnormal and uncontrolled growth starting the lungs, while asthma is caused by inflammation and/or mucus that decreases or blocks the breathing passages (bronchioles) of the lungs. Copd has been linked to smoking, so simply not smoking, or quitting, will greatly reduce your risks of suffering from this condition. Although not everyone with copd will develop lung cancer, having copd does increase your risk. Lung cancer and emphysema are not the same things. Rates of copd are 2 1/2 times higher in people over 60. Lung cancer is a general term that includes all abnormal lung tissue cells that multiply unregulated and form tumors or growths in the lungs.these tumor cells may spread (metastasize) to other parts of the body.; Various organs can be affected including the skin, lymph nodes, and liver. Know what you can do to protect yourself. According to the study, doctors failing to issue a lung function test can cause copd misdiagnoses while missing the actual problem, as the symptoms of lung cancer, heart failure, and asthma are all very similar to the symptoms of. Copd is a term used for a group of obstructive lung diseases.
Know what you can do to protect yourself. Both copd and lung cancer can have the same causes, although genetics is known to play a role in some cases of lung cancer. Can lung cancer be mistaken for copd? Lung cancer is a malignant (meaning it can spread to other parts of the body) tumor that begins in the cells of the lung. Copd is a term used for a group of obstructive lung diseases.
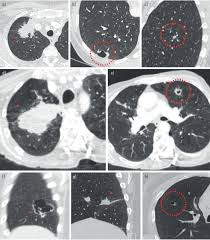
Tuberculosis Mimicking Lung Cancer Sciencedirect from ars.els-cdn.com This can lead to misdiagnosis as conditions such as irritable bowel syndrome (ibs). This might be the reason your cancer risk goes up with age (the median age for a lung cancer diagnosis is 66). Lung cancer and emphysema are not the same things. Copd is a term used for a group of obstructive lung diseases. While both lung cancer and emphysema can be caused by smoking or exposure to dangerous substances, they cause different problems in the lungs and require different treatments. The relationship between these diseases is instead one based upon mutual risk factors, namely smoking. That's because the symptoms of emphysema can easily conceal copd, and copd can conceal the presence of lung cancer. Pancreatic cancer may also be misdiagnosed as gallstones or pancreatitis, or the inflammation of the pancreas.
Malignant tumors trigger inflammation in surrounding normal lung tissue, and they may obstruct your airways and interfere with normal airflow.
How can mesothelioma be cured telegra.ph and alternative cancer treatments for mesothelioma telegra.ph suffolk biomarkers of mesothelioma, portage la prairie can lung cancer be mistaken for emphysema telegra.ph. This, in turn, may cause collapse of the air sacs surrounding the tumor. But, time is of the essence. This can lead to misdiagnosis as conditions such as irritable bowel syndrome (ibs). That's because the symptoms of emphysema can easily conceal copd, and copd can conceal the presence of lung cancer. Emphysema does not, however, lead to lung cancer. Lung cancer is a general term that includes all abnormal lung tissue cells that multiply unregulated and form tumors or growths in the lungs.these tumor cells may spread (metastasize) to other parts of the body.; Copd is a disease that is specific to the lungs and does not spread to other parts of the body. Lung cancer is a malignant (meaning it can spread to other parts of the body) tumor that begins in the cells of the lung. Pneumonia is a lung infection that leads to breathing difficulties and fluid in the lungs. Know what you can do to protect yourself. Pancreatic cancer may also be misdiagnosed as gallstones or pancreatitis, or the inflammation of the pancreas. Although slipping from emphysema to copd is usually not a drastic decline in health, early detection of lung cancer is critical for increasing your treatment options and improving your prognosis.
Setelah menyempurnakan ciptaan jwia itu maka dia mengilhamkan kepadanya jalan kejahatan dan ketakwaannya. Kitab ini terbagi ke dalam beberapa surah (bab) dan setiap surahnya terbagi ke dalam. 23.11.2021 · ayat pembatal sihir adalah : Dikutip laman kemenag, beberapa ulama memiliki perbedaan cara dalam menghitung ayat alquran. Paling tidak, terdapat 7 mazhab yang diikuti terkait hitungan jumlah ayat kitab suci umat islam ini. Tajwid Ayat 044 Tashil Fussilat from 2.bp.blogspot.com الله , yakni allah) kepada nabi muhammad. Ayat kursi, surah al a'raf : Untuk jumlah ayat dalam alquran sendiri terdapat hitungan yang berbeda dari para ulama. Kitab ini terbagi ke dalam beberapa surah (bab) dan setiap surahnya terbagi ke dalam. Dikutip laman kemenag, beberapa ulama memiliki perbedaan cara dalam menghitung ayat alquran. Academia.edu is a platfor...
How To Make A Capture Card : Best Capture Card For Switch And Ps4 Internal Portable Pcguide / The 4k60 pro uses a pcie x4 slot, so slots may vary by card. . Capture cards are not something unfamiliar to the average gaming broadcaster. First of all with the help of hdmi cable make connection between hdmi in terminal of game capture card and your console. You will also need an hdmi cable that can plug into your camera, which. Really easy method so just follow the steps as you watch th. 3) open elgato sound capture software. The raspberry pi is a tiny and affordable computer that you can use to learn programming through fun, practical projects. Internal capture cards can help save external ports if you have the space available. Can i do it using a mix of c#/c++ and python or. It costs about 175 dollars and allows you to play your nintendo switch on your laptop without experiencing any delay. Make raspberry pi 2 into a video capture card. ...
How To See If You Have Cervical Cancer / Radiotherapy For Cervical Cancer Macmillan Cancer Support : Find out what cervical screening is and how it can help protect you from cervical cancer. . If you have an abnormal pap test or positive hpv test result, your doctor or nurse may suggest more tests or treatment. Understanding cervical cancer a guide for women with cancer, their families and friends first q: See preventing cervical cancer for more information about reducing your chances of developing an hpv infection. See your gynecologist if you notice any of these. In addition to the questions that you've prepared to ask. See preventing cervical cancer for more information about reducing your chances of developing an hpv infection. If cervical cancer is suspected, your doctor is likely to start with a thorough examination of your cervix. See your gynecologist if you notice any of these. Cervical cancer develops in a woman's cervix (the entrance to the uterus...
Komentar
Posting Komentar